Zubní barvový nástroj pro plomby
Tento nástroj vám pomůže porozumět, jak správně vybrat barvu bílé plomby po bělení zubů. Správný odstín je klíčový pro neviditelnou plombu, která se bude ladit s vašimi zuby.
Výběr odstínu je důležitý! Pokud si plombu necháte dát příliš brzy po bělení, barva zubů se může ještě měnit. Nejlepší je počkat 10-14 dní.
Když jste si nechali zuby bělit pomocí Opalescence nebo jiného systému, jistě jste si všimli, jak se zuby změnily - staly se jasnější, světlejší, skoro jako nové. Ale co když potřebujete plombu? Jak vypadá bílá plomba, aby se nerozlišovala od vašich bělých zubů? A proč je důležité, aby byla správně vybraná a nanesená?
Co je bílá plomba a proč se používá?
Bílá plomba je zubní plomba vyrobená z kompozitního materiálu, který se přizpůsobí přirozené barvě vašich zubů. Na rozdíl od starších stříbrných amalgamových plomb, které byly vidět i při nejmenším úsměvu, bílé plombsy jsou navržené tak, aby byly skoro neviditelné. Používají se především u předních zubů, ale i u běžných žvýkacích zubů, kde estetika hraje roli.
Po bělení zubů, například pomocí Opalescence, se barva zubů zvýší o několik odstínů. Pokud byste pak dali stříbrnou plombu, byla by výrazně tmavší než zbytek zubů - a to vypadá nejen neesteticky, ale i jako známka, že jste si něco nechali dělat. Bílá plomba je tedy jediná logická volba, aby se váš úsměv nezničil.
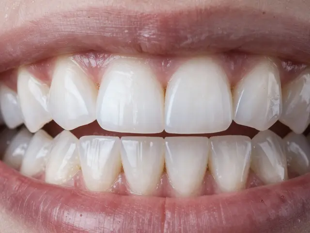
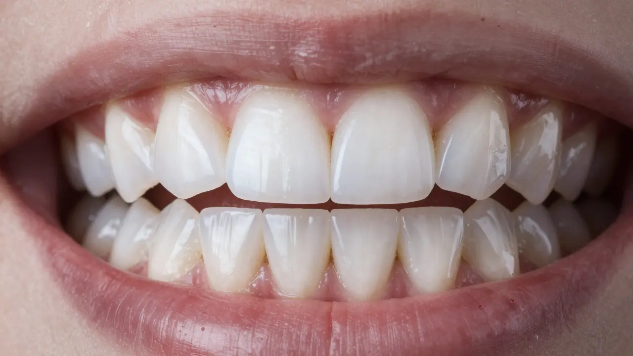
Jak vypadá bílá plomba při přímém pohledu?
Když se podíváte na bílou plombu z blízka, vypadá jako hladká, lesklá hmotka, která se přirozeně slévá s povrchem zubu. Není bílá jako sníh - to by vypadalo uměle. Místo toho je odstín přesně přizpůsobený vašim zubům. Dentisté používají škálu odstínů, od A1 (nejbělejší) až po D4 (tmavější, s odstínem šedi nebo žluta). Po bělení zubů se obvykle volí odstín A1 nebo A2, aby odpovídal nové, osvěžené barvě vašich zubů.
Plomba není jen „vyplněná díra“. Je tvarována ručně, vrstva po vrstvě, a každá vrstva je ztvrdnutá speciálním modrým světlem. To umožňuje vytvořit přirozený tvar, který kopíruje přirozenou křivku zubu. Výsledek? Plomba se nevynoří, když mluvíte, smějete se nebo jíte. Není vidět ani při silném osvětlení.
Proč se bílé plombsy nesníží jen tak?
Ne všechny bílé plombsy jsou stejné. Kvalita materiálu, technika vložení a zkušenost zubaře rozhodují o tom, jak dlouho vydrží a jak vypadají po měsících.
Nízkokvalitní kompozitní materiály se po pár měsících začínají žloutnout, zvlášť u lidí, kteří pijí čaj, kávu nebo často kouří. Některé plombsy se také začnou odlepovat od zubu, pokud nebyly správně připraveny. Zubař musí nejprve zub očistit, odstranit zbytky karie, poté ho zpracovat kyselinou, aby se kompozit pevně přilehl, a až pak aplikovat plombu.
Po bělení zubů je důležité počkat alespoň 7-14 dní, než se necháte plombovat. Proč? Protože po bělení Opalescence zůstává ve zubech určitá míra vodního obsahu a zub ještě není ve své konečné barvě. Pokud byste plombu dali příliš brzy, mohla by se po několika dnech lišit od barvy zubu - a to by vypadalo špatně.
Co se stane, když plomba není správně zvolená?
Představte si, že jste si nechali zuby bělit, a pak vám zubař dal plombu, která je o dva odstíny tmavší než vaše zuby. Po několika dnech si všimnete, že když se smějete, zub s plombou vypadá jako „špína“. To není jen estetický problém - je to zbytečná úprava, kterou můžete vyřešit, ale stojí vás další peníze a čas.
Nejčastější chyba: zubař nezkontroluje barvu zubů po bělení. Mnoho klinik stále používá staré odstínové tabulky, které nezohledňují novou barvu po bělení. To je důvod, proč je důležité vybírat zubaře, kteří pracují s moderními systémy a mají zkušenosti s estetickou stomatologií po bělení.
Nejlepší řešení? Po bělení se vraťte na kontrolu a nechte si zuby zkontrolovat až po 10-14 dnech. Pak až teprve rozhodněte, zda potřebujete plombu - a jaký odstín.
Co se stane, když se bílá plomba po čase ztmaví?
Plomba se nezbarví, jako když se zuby ztmaví. Ale může se „vybělit“ nebo „zbarvit“ podle toho, jak se chováte.
Plomba, která je nanesena správně, může vydržet 5-10 let. Pokud ale piješ hodně černého čaje, kávy, červeného vína nebo kouříš, může se okraj plombsy začít žloutnout. To není chyba plombsy - je to chyba ústní hygieny.
Co s tím? Nejprve se nechte očistit zuby profesionálně. Pokud se okraj plombsy stále liší od zubu, může být potřeba plombu překrýt novou. To je jednoduchý zákrok, který trvá 30-45 minut. Není to výměna celého zubu - jen „překrývání“ plombsy, aby znovu odpovídala barvě zubů.
Je bílá plomba stejně pevná jako stříbrná?
Ne. Ale to neznamená, že je slabší.
Stříbrné amalgamové plombsy jsou pevnější a trvají déle na žvýkacích zubech. Ale bílé plombsy dnes používají moderní kompozity, které jsou schopné vydržet i vysoké zatížení. Pokud je plomba správně aplikována a není příliš velká (např. nezabírá více než 1/3 zubu), může vydržet stejně dlouho jako amalgam.
Pro velké defekty se ale stále doporučuje korunka. Plomba je pro malé a střední závady. Když máte velkou díru, plomba se může rozbít. To není problém materiálu - je to problém struktury zubu.
Kdy je nejlepší doba pro bílou plombu po bělení?
Nejčastější chyba: lidé jdou hned po bělení k plombování. To je špatně.
Opalescence a jiné systémy bělení způsobují dočasnou dehydrataci zubů. Zuby jsou na chvíli „vyčerpané“ a barva se mění během několika dní. Po 7 dnech se barva stabilizuje, ale až po 10-14 dnech je výsledná barva skutečně trvalá.
Proto je nejlepší:
- Nejprve nechat zuby bělit (např. Opalescence 10 dní)
- Čekat 10-14 dní na stabilizaci barvy
- Přijít na kontrolu a nechat si zuby zkontrolovat
- Pokud je potřeba plomba, vybrat přesný odstín podle aktuální barvy zubů
Tím se vyhnete tomu, že byste měli plombu, která se za měsíc liší od zubů - a museli byste ji znovu dělat.
Co si pamatovat, když si plombu necháte dělat po bělení?
- Nikdy neplombujte hned po bělení - počkejte 10-14 dní.
- Zubař musí použít odstínovou tabulku po bělení, ne před ním.
- Bílá plomba není „bílá“ jako papír - je přizpůsobená vaší přirozené barvě zubů.
- Plomba se nezbarví sama, ale může se zbarvit, pokud piješ černý čaj nebo kouříš.
- Pokud se plomba začne lišit od zubů, neznamená to, že selhala - jen je potřeba ji překrýt.
Bílá plomba není luxus. Je to standard. Pokud jste si nechali zuby bělit, máte právo mít plombu, která se nerozlišuje od zubů. Nejde o to, že byste měli být „perfektní“ - jde o to, abyste neztratili výsledek, který jste si nechali udělat.
Jak dlouho vydrží bílá plomba po bělení zubů?
Bílá plomba obvykle vydrží 5-10 let, pokud je správně nanesená a dodržujete dobrou ústní hygienu. Pokud piješ hodně kávy, čaje nebo kouříš, může se okraj plombsy začít žloutnout dříve - ale to neznamená, že plomba selhala. Stačí jí překrýt novou vrstvou.
Je bílá plomba stejně silná jako stříbrná?
Moderní kompozitní bílé plombsy jsou dostatečně pevné pro většinu zubů, včetně žvýkacích. Pro velké defekty nebo zuby s velkým zatížením se doporučuje korunka. Plomba je pro malé a střední závady - a dnes jsou materiály tak dobré, že vydrží i na molarech.
Můžu si nechat bílou plombu dát hned po bělení Opalescence?
Ne. Po bělení se barva zubů mění ještě několik dní. Pokud plombu dáte hned, může se po týdnu lišit od barvy zubů. Doporučuje se počkat 10-14 dní, než se necháte plombovat, aby byla barva stabilní.
Proč se bílá plomba někdy žloutne?
Bílá plomba sama o sobě nežloutne. Ale pokud je nanesená nízkokvalitním materiálem nebo pokud máte špatnou ústní hygienu (časté pití čaje, kávy, vína, kouření), může se okraj plombsy zbarvit. To je problém životního stylu, ne plombsy.
Můžu si nechat bílou plombu dát na zub, který už má stříbrnou plombu?
Ano. Stříbrnou plombu lze bezpečně odstranit a nahradit bílou kompozitní plombou. To je častý zákrok u lidí, kteří se rozhodli pro estetickou úpravu zubů po bělení. Není to složité a trvá obvykle 30-60 minut.
