
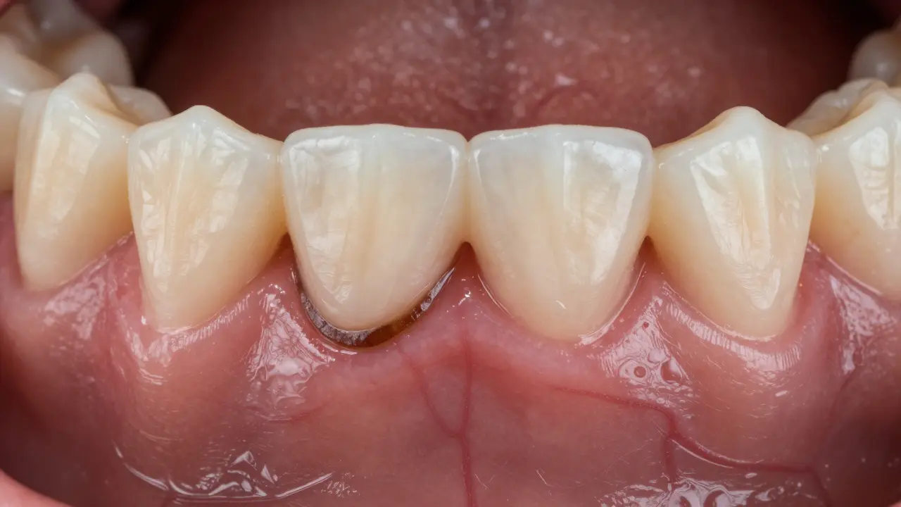
Zubní kámen není jen nepříjemná skvrna na zubech, ale tvrdá vrstva bakterií, která může vést k zánětu dásní, paradontóze a zápachu z úst. Naštěstí je jeho odstranění jednoduché, pokud víte, kdy a jak se na to připravit. V tomto článku vám ukážeme, co můžete očekávat při profesionálním čištění a jak si doma udržet zuby čisté, aby se kámen znovu neobjevil.
První krok je pravidelná návštěva zubaře – doporučuje se jednou za šest měsíců. Během kontroly dentista zkontroluje stav dásní a zubů a pokud najde zubní kámen, provede tzv. scaling. Skalování může být ruční (kovové nástroje) nebo ultrazvukové, kde vibrace rozbijí a odstrání tvrdý povlak.
Po odstranění kamene následuje leštění, které vyhladí povrch a ztíží bakteriím přichytit se znovu. Celý zákrok trvá obvykle 20–30 minut a není bolestivý – pokud máte citlivé dásně, můžete před návštěvou použít lokální anestetikum nebo si domluvit s dentistem jemnější techniku.
Profesionální čištění je skvělé, ale nejlepší je předcházet tvorbě kamene. Začněte s dobrým základem: čistěte zuby dvakrát denně fluoridovou pastou a používejte mezizubní kartáčky nebo dentální nit. Tyto pomůcky odstraňují zubní plak, z něhož se kámen tvoří.
Nezapomínejte na jazyk – na něm se také usazují bakterie. Jednoduchý škrabák nebo ústní voda s antibakteriální složkou pomůže udržet ústní mikroflóru v rovnováze.
Strava hraje velkou roli. Omezte cukry a lepkavé svačinky, které podporují růst plakových bakterií. Zařaďte více vlákniny (jablka, mrkev) – přirozeně čistí zuby a stimuluje tvorbu slin, které neutralizují kyseliny.
Nejčastější chyba je čekat s návštěvou zubaře až do bolesti. Každý menší nános kamene se dá snadno odstranit, ale pokud se nechá dlouho, může zpomalit hojení dásní a vyžádat si náročnější zákroky. Proto si nastavte připomenutí v kalendáři a dbejte na pravidelnost.
Pokud máte sklon k rychlému tvorbě kamene, zvažte profesionální preventivní čistění každé 3–4 měsíce. To zkrátí dobu, kdy se plak mění v tvrdý povlak, a udrží dásně zdravé.
Na závěr – čisté zuby nejsou jen o vzhledu, ale i o celkovém zdraví. Odstranění zubního kamene a správná prevence vám zajistí nejen krásný úsměv, ale i méně návštěv u zubaře a méně bolesti. Vyzkoušejte tipy výše a dejte svým zubům šanci zůstat zdravé na dlouho.
Zubní kámen u psa je skrytá hrozba pro zdraví. Zjistěte, jak jej bezpečně odstranit doma pomocí ultrasonického čističe, kdy je potřeba jít k veterináři a jak předcházet jeho opětovnému vzniku.
Zubní kámen je běžný problém, který může vést k zánětům a ztrátě zubů. Zjistěte 10 praktických tipů, jak ho efektivně odstranit a předcházet jeho tvorbě doma i u zubního lékaře.
Odstranění zubního kamene je nezbytná procedura pro prevenci zánětů dásní a ztráty zubů. Zjistěte, jak probíhá, kolik to stojí a jak se předcházet jeho tvorbě.
Zubní kámen pod dásní je neviditelné, ale nebezpečné riziko pro zdraví zubů. Zjistěte, jak ho odstranit, jak mu předcházet a proč nečekat, až začnou zuby krvácet nebo padat.
Zjistěte, jak odstranit zubní kámen bez bolesti pomocí moderních metod, správné přípravy a profesionální péče. Naučte se, kdy jít k lékaři a jak předcházet návratu kamenů.
Zubní kámen pod dásní je skrytá hrozba, která může vést ke ztrátě zubů. Zjistěte, jak ho odstranit, jak ho rozpoznat a jak udržet bílé zuby dlouhodobě.
Zjistěte, jak poddásňový zubní kámen poškozuje dásně, jak ho rozpoznat a jak jej efektivně odstranit pomocí domácí i profesionální péče.
V tomto článku se podrobně zabýváme zubním kamenem pod dásní, jeho příčinami, důsledky a možnostmi odstranění. Poradíme, jak pečovat o svůj úsměv a zachovat si zdravé zuby a dásně. Seznámíme vás s technikami čištění, prevencí a možnostmi léčby zubního kamene a poskytneme praktické tipy, jak udržet váš úsměv zdravý a přitažlivý.
Ahoj, jsem tady na svém blogu, abych vám dal několik tipů, jak se zbavit zubního kamene pod dásní. Je to nepříjemný problém, který nemůže zůstat bez povšimnutí. Postup, jak odstranit zubní kámen, je klíčový k udržení zdraví našich zubů a úst. V tomto článku se podíváme na různá řešení a jak je uplatnit v náš prospěch. To vše proto, abychom měli krásný úsměv a zdravé zuby.