Kalkulační odhad opravy zubů po rovnátkách
Doporučené řešení
Metoda léčby
Odhadované náklady
--
Když mi ortodont před rokem konečně sundal drátky, cítil jsem obrovskou úlevu. Roky trpělivého lešpení, omezování v jídle a noční strachy byly pryč. Stál jsem před zrcadlem s očekáváním dokonalého usměvavého oblouku. Místo toho jsem viděl něco, čemu nechtěl rozumět. Na několika místech, kde byly přilepeny brackety, byla bílá, matná místa, která se nedala setřít ani vykartáčovat. Bylo to první znamení, že rovnátka nejsou jen pro krásné zuby, ale mohou nést i rizika. Můj příběh není výstrahou proti rovnatkám jako takovým, ale připomínkou, že co následuje po jejich odstranění, je stejně důležité jako samotná léčba.
Co se děje se zuby pod brackety?
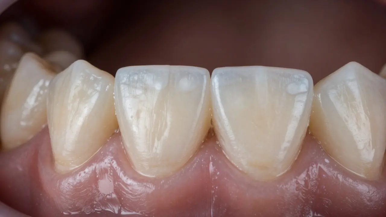
Většina lidí si při instalaci rovnátek nevšimne, že došlo k zásahu do zubní sklovinynejtvrdší látky v lidském těle. Po odstranění lepidla odhalila realita. Zde je nutné zmínit termín dekalcifikace. To znamená odlučování minerálů ze zubu. Když máte na zubech kovové nebo keramické prvky, vytváříte kolem nich mikroskopické kouty, kam nepropustivý kartáč dorazí. Baktérie se tam schovají a produkují kyseliny. Tyto kyseliny postupně 'rozplývají' povrch zubu, což vede ke zmíněným bělavým skvrnám.
Měl jsem štěstí, že nemohla dojít k prohlubňi. Bílé skvrny jsou často reverzibilní, pokud jsou zachyceny včas. Ale u mě to bylo pozdě. Sklovina již byla natravně poškozena a změnila propustnost světla, takže vypadaly jako špinavé. V České republice, a konkrétně v regionu Českých budějovic, kde žiji, jsem zjistil, že mnoha lidem toto téma nikdo nevytýkal, protože ortodonté se zaměřují primárně na polohu zubařských zvláštností, nikoliv na mikroskopickou hygienu.
Rozpoznání problémů po odstranění aparátu
Jakmile začnete mít po rovnátkách podezření, musíte vědět, co hledáte. Nejde jen o barvu. Zde je několik znaků, které by vás měly upozornit, že potřebujete navštívit stomatologa pro bližší pohled:
- Bílé skvrny pod dráty: Nejtypičtější známka počátečního kazu (early caries). Často se objevují přesně tam, kde ležel hranol bracketu.
- Odkroužené hrany skloviny: Při odlepování lepidla může někdy dojít k drobnému prasknutí skloviny, pokud byl zoubek příliš tenký.
- Srážečná recese dásně: Rovnátka tlačí zuby, a pokud jsou umístěny mimo kost, dásně se mohou stáhnout, což způsobí viditelné mezerky.
- Citlivost: Pokud se vám po odstranění bolestivé tlaky nebo citlivost na chlad, může to signalizovat, že dochází ke ztrátě ochranné vrstvy.
Při mé návštěvě zubního lékaře jsem se dozvěděl o procesu, který se nazývá infiltrace kompozitní pryskyicí. Je to metoda, která se snaží naplnit póry poškozené skloviny bez broušení zubu. Bohužel, to nestačilo na případných dvou předních zubech, kde bylo poškození hlubší. Potřeboval jsem komplexnější řešení.
Možnosti obnovy estetické dokonalosti
Když už jsme se rozhodli, že musíme nějakou kosmetiku provést, dostali jsme se do oblasti estetickej stomatologie. Pro mnoho pacientů je to zklamání, že peníze za rovnátka jim nezajistily také perfektní barevnost a tvar, ale je to realita. Zde jsou tři hlavní cesty, které mají lidé s poškozenými zuby po rovnátkách:
| Metoda | Vhodné pro | Invasivita | Cena (přibližná CZK) |
|---|---|---|---|
| Resinzová infiltrace (Icon) | Povrchní bílé skvrny | Není nutno bruset | 1 500 - 3 000 Kč za zub |
| Laminated bonding | Hlouběji skvrny, menší zlomeniny | Mírné přípravy | 2 500 - 4 500 Kč za zub |
| Keramikové lamelky (Veneer) | Závažné vady barevnosti a tvaru | Patronálové přípravy | 8 000 - 15 000 Kč za zub |
V mém případě jsem zvolil kombinaci. Na jednom zubu nám stačila mikroabrazivní technika s následnou aplikací speciální slinky, která znovu mineralizovala tkáň. U druhého zubu to nebylo možné a museli jsme použít dentální bondingmetoda, kdy se na zub nanáší kompozitní pryskyice ve stejné barvě. Výsledek je neviditelný. Dnes už se nestydím ukázat zuby, ačkoli cesta sem byla dlouhá. Je důležité zdůraznit, že tyto metody by měly provádět pouze specialisté na estetiku, běžný zubní lékař nemusí mít potřebné materiály pro přesné odstíny.
Úskalí prevence během léčby
Často se ptají, jestli to mohlo být jinak. Odpověď je bohužel někdy složitá. S ohledem na moji hygienu, byla velmi dobrá. První rok jsem si čistil zuby dvakrát denně, používal mezičistící kartičky a plicí vody. Problém nastal až v půl roce, kdy začal být tlak na dráty intenzivnější. Párkrát jsem mohl zapomenut vyčistit prostor nad gumičkou. V tu chvíli je to pro bakterii ideální místo. Kyselina vznikla rychle.
Naprostou klíčovou roli sehrála pravidelná kontrola. V roce 2026 se technologie diagnostiky posunuly. Některé kliniky nabízejí 3D skenery, které odhalují ztrátu minerálů ještě dříve, než vznikne viditelná skvrna. Pokud jste právě na rovnátkách, určitě požádejte o kontrolu pomocí těchto přístrojů. Neměli byste se stydět říct svému doktorovi, že bojíte o skvrny, je to legitimní otázka.
Finanční náklady a časová dotace
Je třeba si uvědomit, že oprava poškozených zubů se musí platit navíc. Zdravotní pojišťovny v České republice obvykle refundují pouze zásadní zdravotní poškození, tedy skutečný kaz, který vyžaduje plombu. Estetické intervence, jako je vyleštění skvrn nebo aplikace laminátek, jsou plně hrazeny pacientem. Celkové náklady na mou rekonstrukci se vyšplhaly na více než třicet tisíc korun nad rámec původní léčby. Je to vysoká částka, která by však měla být spočítána předem v rozpočtu každého, kdo plánuje rovnátka.
Časový aspekt je také důležitý. Obnova není hotová jedním dnem. Trvalo mi tři návštěvy u parodonta pro úpravu dásně a dvě pro finální opravu skloviny. Trpělivost je klíč. Nemůžete honit rychlost, aby se netvořily nové vady.
Psychologický dopad a přijetí sebe sama
To nejtěžší nebylo fyzické zdraví, ale psychika. Cítil jsem se selhalec. Investoval jsem desetitisíce do rovnátek a výsledek byl vadný. Mnoho lidí v podobné situaci chce zůstat doma, aby nikdo jejich usměvavce neviděl. Ale pravdou je, že moderní stomatologie umožňuje skvělé výsledky. Po dokončení ošetření, když jsem se opět podíval do zrcadla, zjistil jsem, že se moje sebepojetí změnilo.
Není špatné nechat se léčit. Je špatné ignorovat varovné signály. Pokud zjistíte, že se po odstranění rovnátek vyskytují problémy, nesnižujte se. Existují řešení. Moje zkušenost, kterou sdílím dnes, slouží k tomu, abyste vy, kteří se nacházíte v podobné situaci, věděli, že cesta existuje.
Doporučení pro budoucí pacienti
Pro ty, kteří teprve zvažují instalaci, bych radil několik kroků:
- Získejte si důkladné rentgenové snímky, nejen fotografický obrázek. Tvar kořenů může ovlivnit riziko dekalcifikace.
- Používejte profesionální zubní pasta s fluoridem každý den. To je základ ochrany.
- Sledujte změny barvy kolem drátů každé dva týdny.
- Nechte si napsat preventivní plán na dobu po extrakci.
- Poraďte se s lékařem, zda je vhodná alternativní metoda, jako je Clear Aligner, která snižuje riziko poškození, pokud máte vysoké riziko.
Lze zpětně napravovat bílé skvrny po rovnátkách bez chirurgického zákroku?
Ano, pro povrchové skvrny se používá procedura resinzové infiltrace nebo mikroabraxe. Pokud jsou skvrny příliš hluboké, je nutná jemnější broušení.
Jak moc stojí oprava zničené skloviny v roce 2026?
Ceny se pohybují podle závažnosti. Infiltrace začíná na 1 500 Kč, zatímco kompletní kosmetické lamelky mohou stát až 15 000 Kč na jeden zub.
Mohou rovnátka způsobit trvalou ztrátu kosti kolem zubů?
Pokud je hygienická péče špatná, může dojít k paradentoze. Ortodonté proto vždy sledují stav dásní a doporučují pravidelné kontroly u parodologa.
Existují lepší alternativy než klasické kovové rovnátka?
Transparentní alignery (např. Invisalign) snižují riziko dekalcifikace pod brackety, ale vyžadují vyšší disciplínu při nošení a péči o hygienu.
Co mám udělat hned po sundání rovnátek, když vidím skvrny?
Okamžitě kontaktujte svého zubního lékaře. Čím dříve se provede diagnóza, tím méně invazivní bude oprava. Samoléčba pastami z drogisterie nefunguje na hlubší vady.
