
Veneery zuby vyžadují pečlivou pooperativní péči, aby vydržely 10-15 let. Zjistěte, co dělat hned po instalaci, jak se vyhnout poškození a jak udržet krásný úsměv.
Jak poznat, že rostou zuby u dítěte? Příběhy rodičů o prvních příznacích, co dělat, když bolest trvá, a proč je důležité začít s péčí už u prvního zubu.
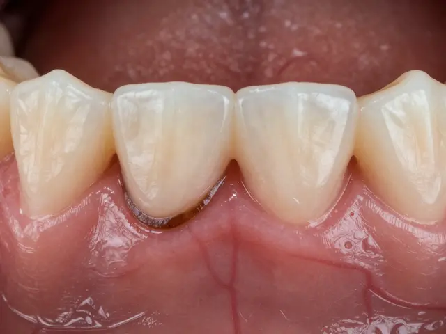
Zubní fazety jsou efektivní způsob, jak zlepšit vzhled úsměvu bez ortodoncie. Zjistěte, kdo je vhodný kandidát, jak probíhá instalace, jak dlouho vydrží a jak na ně správně dbát.
Zjistěte, co opravdu funguje při bělení zubů - od mýtů o poškozování zubů až po to, proč profesionální bělení u zubaře je nejlepší volba. Skutečné výsledky, bez přehánění.
Večerní čištění zubů je nejdůležitější chvíle dne pro prevenci kazu a zánětu dásní. Zjistěte, proč bělící pasta nestačí, jak funguje fluor a co se děje v ústech, když spíte.
Curaprox kartáčky jsou navrženy pro jemnou, ale účinnou péči o zuby a dásně. Zjistěte, který model vybrat podle potřeb, jak je správně používat a proč stojí za investici.
Po kyretáži zubů je klíčová správná péče - jak se chovat, co jíst, jak čistit zuby a kdy se obrátit na lékaře. Praktický návod pro rychlé a bezpečné hojení dásní.
Zjistěte, kdy a co jíst po implantaci zubu, abyste zabránili infekci a zrychlili hojení. Praktické pokyny pro první dny, týdny i měsíce po operaci.
Zánět zubu je bolestivý, ale domácí metody jen dočasně zmírní příznaky. Zjisti, co opravdu pomáhá, co je nebezpečné a kdy musíš okamžitě jít k zubnímu lékaři.
Kazivost zubu není jen otázka cukru - je to výsledek špatné hygieny, špatných návyků a přehlížení mezizubních prostorů. Zjistěte, co skutečně způsobuje kazy a jak je předcházet.